『診断と治療方針』
定期検診時に、患者様に症状はなかったものの、レントゲン検査で大きな骨の欠損が発見されました。原因を調べたところ、過去の大きな虫歯治療による神経の壊死(えし)と、その影響で歯の根の周りの骨が溶け、さらに歯周病との合併により複雑化した状態であることが判明しました。

『治療経過』
まず、通常の根管治療(根の中の治療)から始めましたが、十分な改善が見られませんでした。そこで、より踏み込んだ治療として「意図的再植術」と最新の「歯周組織再生療法」を組み合わせた治療を選択しました。
具体的には、一時的に歯を抜去し、口腔外で歯の根の先端を精密に治療。その際、失われた骨を再生させるため、特殊な再生材料を併用しました。この再生材料は、体内で新しい骨の形成を促進し、歯周組織の回復を助ける働きがあります。

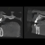
『治療結果』
処置から2年が経過した現在、失われていた骨は良好に再生し、歯の機能も問題なく回復しています。定期的な経過観察でも安定した状態が確認できています。
この治療法の組み合わせにより、従来では保存が難しいと考えられた歯でも、より確実な治療結果を得ることができました。
監修者情報

院長 平野 翔
経歴
- 青森県弘前市出身
- 東北大学歯学部卒業
- 都内大手医療法人や歯周病専門医の元で勤務医を経験
- 2019年モーラ歯科クリニックを開設し現在に至る


