目次
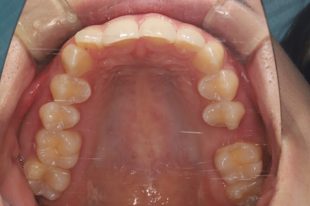
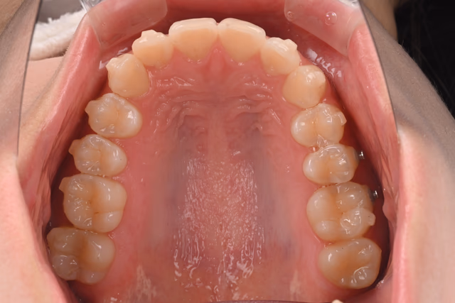
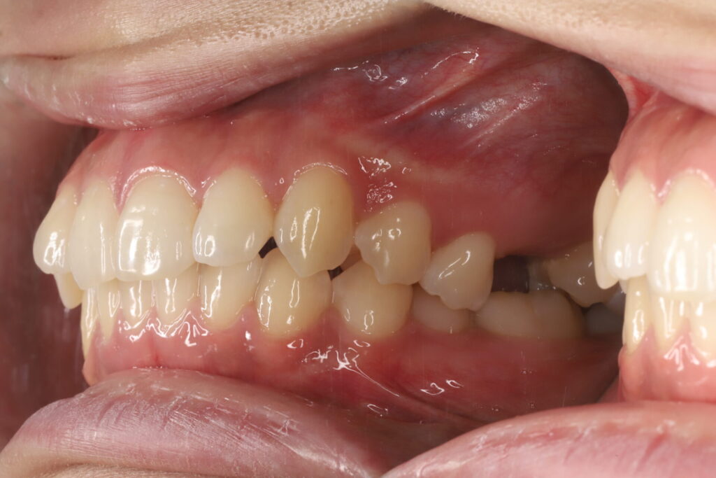
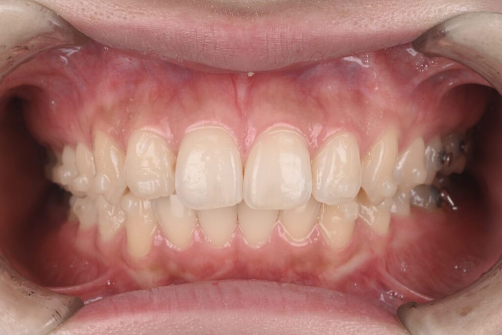
インビザラインで見た目+噛み合わせ改善
骨格分析に基づき、欠損部にインプラントを入れず、インビザライン(マウスピース矯正)でスペースを閉鎖しながら歯並びと咬合を同時に改善しました。
当院は「歯がない=必ずインプラント」ではなく、年齢・骨格・歯並び・将来の管理まで見据えて、複数の選択肢から最小侵襲の最適解をご提案します。


『症例背景』
他院で「インプラントは難しい」と説明を受けた20代女性から、インプラント希望でご相談。精査の結果、矯正でのスペース閉鎖が適応と判断しました。



『骨格分析からの治療選択』
- 診断:CBCT・口腔内スキャン・咬合解析で移動量と方向を定量化
- 設計:IPR+アタッチメントでミリ単位に歯を再配置
- 結果:スペース閉鎖+配列改善により、見た目・発音・咬合安定・清掃性が向上
『なぜ「インプラントしない」選択が可能?』
- 骨格・歯列全体の再配置で欠損部を補綴に頼らず最適化
- 低侵襲で、将来の維持管理(清掃性・周囲組織の健康)に配慮
- デジタル設計でゴールを可視化し、予測可能性を共有
『いつインプラントを選ぶ?』
- 骨量不足、咬合再建要件、審美・機能の要請によってはインプラントが最適な場合もあります。
- 当院は矯正/最小限補綴/インプラントを比較提示し、患者さまと意思決定します。
『当院の強み』
- 総合診断:骨格・咬合・清掃性まで評価して全体最適を設計
- 複数案の提示:条件に応じて矯正・補綴・インプラントを比較
- 低侵襲×長期視点:将来のメンテ性とコストも考慮


『FAQ』
Q. 欠損は必ずインプラントですか?
A. いいえ。骨格・スペース・咬合次第で矯正によるスペース閉鎖が有効です。
Q. マウスピース矯正の装着時間は?
A. 1日20–22時間が基本。食事と歯磨き時のみ外します。
Q. リスクは?
A. 締め付け感、歯肉退縮、ブラックトライアングル、歯根吸収(まれ)。定期管理とセルフケアが重要です。
Q. 他の選択肢は?
A. インプラント/最小限補綴/ワイヤー矯正を条件に応じて比較提示します。
監修者情報

院長 平野 翔
経歴
- 青森県弘前市出身
- 東北大学歯学部卒業
- 都内大手医療法人や歯周病専門医の元で勤務医を経験
- 2019年モーラ歯科クリニックを開設し現在に至る
